Een zorgmijder met rugpijn, leidend (én lijdend) tot euthanasie
Katinka Ladee, Floor van den Hanenberg, Maarten de Boer, Rinze Reinhard
Introductie
Rugpijn is een veel gehoorde klacht waar de specialist ouderengeneeskunde frequent mee in aanraking komt. Ouderen presenteren zich soms atypisch, hetgeen het - zéker bij een zorgmijdende patiënt - lastig maakt om de vinger (letterlijk en figuurlijk) op de zere plek te leggen. Dit laatste was ook het geval bij onze patiënt met lumbago, die vanwege krachtverlies werd doorverwezen voor een MRI wervelkolom waar hij meermaals niet voor verscheen. Uiteindelijk bleek er sprake van een ernstige, gecompliceerde spondylodiscitis en zou een poging tot genezing een intensief behandeltraject behelzen. Een dergelijke situatie brengt ingewikkelde dilemma’s met zich mee, waarbij multidisciplinair overleg en bovenal uitvoerige gesprekken met patiënt zelf essentieel zijn. In die gesprekken moeten de verwachtingen van de patiënt aan de orde komen.
Ziektebeloop: van kwaad tot erger
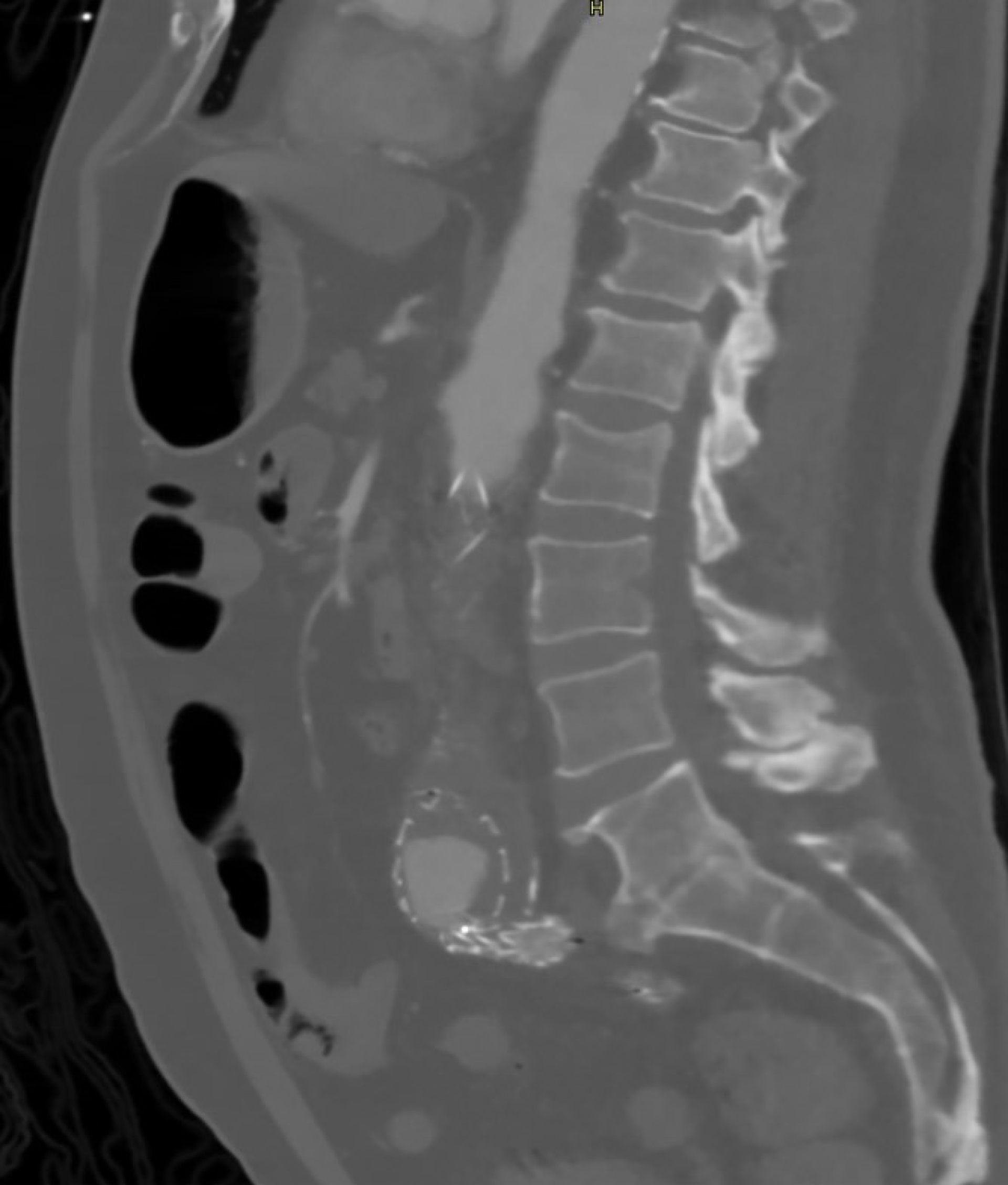
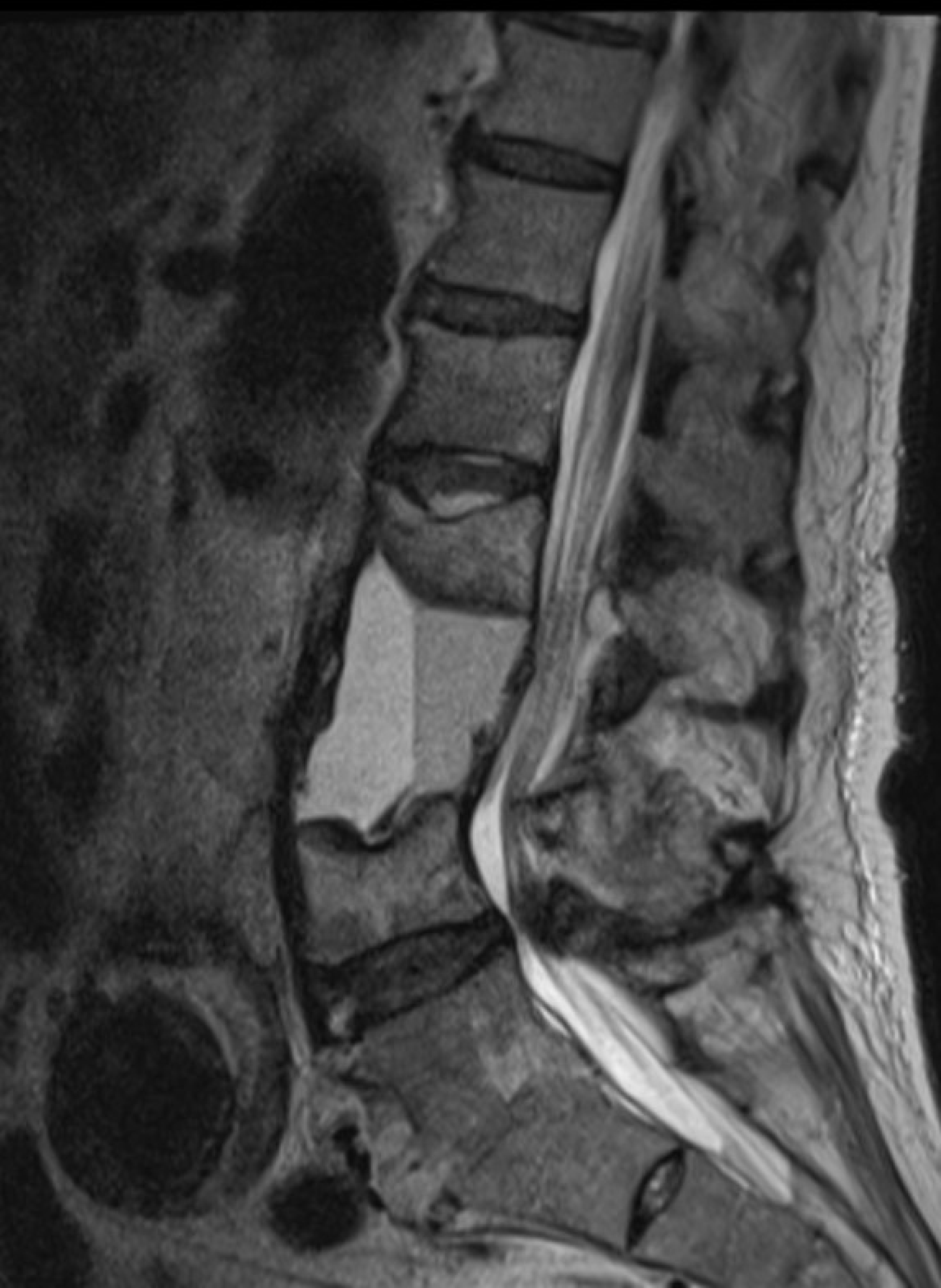
Onze casus betreft een 69-jarige zorgmijder die onder andere bekend was met een aortaprothese (EVAR), een doorgemaakte duodenumbloeding zes maanden eerder met op de destijds verrichte CT abdomen een normale wervelkolom (figuur 1) en sinds anderhalve maand toename van bekende lumbago. Door de huisarts was meermaals getracht een MRI van de wervelkolom te laten verrichten, maar patiënt was hier zowel lichamelijk als geestelijk nog niet toe ‘te mobiliseren’ geweest. Patiënt had een moeizame relatie met zijn huisarts en had over het algemeen weinig vertrouwen in hulpverleners waarmee hij frequent in conflict kwam. Er waren vermoedens op persoonlijkheidsproblematiek. Wat betreft de MRI had hij aangegeven daar niet in te durven, niet te kunnen liggen door de pijn, geen vervoer te hebben en überhaupt het nut van beeldvormend onderzoek niet in te zien. Even later werd patiënt ingestuurd naar de Spoedeisende Hulp vanwege koorts en rugpijn, alwaar bij lichamelijk onderzoek een parese van beide benen opviel. Ook bleek er sprake van urine-incontinentie waarbij er gedacht werd aan een reeds langer bestaand caudasyndroom. Laboratoriumonderzoek toonde verhoogde inflammatieparameters (bezinking 91 mm/uur; CRP 267 mg/l) en op een MRI van de wervelkolom werd een uitgebreide spondylodiscitis van L1 t/m L3 gezien met werveldestructie en abcesvorming (figuur 2). Uit urine-, bloed- en latere peroperatieve kweken werd een ESBL E. Coli geïsoleerd. Patiënt kreeg boomstamverpleging en werd met meropenem en pijnstilling behandeld. Met als doel patiënt weer enige mobiliteit, vermindering van pijn en verbetering van kwaliteit van leven te kunnen bieden, werd besloten de lumbale wervelkolom te stabiliseren door middel van percutane fixatie middels schroeven en staven. Hierop had patiënt weliswaar meer bewegingsvrijheid, maar zijn krachtsverlies en slechte conditie waren dusdanig invaliderend dat hij zijn bed alsnog niet uitkwam. Verder persisteerde de koorts ondanks reeds meerdere weken intraveneuze antibiotische therapie. Er werd een PET-CT verricht ter evaluatie van eventuele betrokkenheid van de nabijgelegen EVAR. Dit leek niet het geval; wel was er sprake van een zich verder uitbreidende infectie. Na uitvoerig multidisciplinair overleg met collega’s van de geriatrie, orthopedie, neurologie, microbiologie, radiologie en infectiologie en vervolgens een second opinion in het academisch ziekenhuis bleek een tweede, zeer ingrijpende operatie vereist om de uitgebreide spondylodiscitis verder te behandelen.
Figuur 1. Sagittale CT abdomen van zes maanden vóór presentatie met normaal aspect van de lumbale wervelkolom
 
  Figuur 2. Sagittale MRI wervelkolom tijdens opname met uitgebreide spondylodiscitis L1 t/m L3 met werveldestructie, vloeistof-vloeistof spiegel bij abcesvorming en lumbale kanaalstenose
 
  Behandeldilemma’s
De verder verslechterende conditie van patiënt - die al vóór opname ruim een maand nagenoeg immobiel was geweest - en het vooruitzicht van een zeer intensief behandeltraject maakten dat patiënt het ook mentaal steeds zwaarder kreeg. We voerden meerdere uitgebreide gesprekken met hem ter voorlichting en om inzicht te krijgen in voor hem acceptabele behandeluitkomsten. Aanzienlijk herstel van mobiliteit en zelfredzaamheid bleken voor patiënt belangrijke voorwaarden te zijn om verdere behandelingen te willen ondergaan. Die visie konden wij ons goed indenken, ook gezien zijn achtergrond als schipper en muzikant waarbij hij respectievelijk altijd gewend was geweest zijn eigen koers te varen en ook het gevoel nodig had ‘dat ergens nog muziek in zit’. Er waren geen cognitieve stoornissen en patiënt leefde na het overlijden van zijn echtgenote een vrij geïsoleerd bestaan. Het contact met zijn zoon verliep moeizaam. De enige naaste die bij hem op bezoek kwam, was een vriend. Patiënt was wilsbekwaam en in overleg werd overeengekomen dat een tweede operatie geen kans zou bieden op voor patiënt acceptabele behandeluitkomsten. Derhalve werd daar uiteindelijk vanaf gezien. Bij patiënt ontstond een persisterende euthanasiewens en omdat de band met de huisarts hiervoor niet toereikend was, werd besloten om klinisch op dit verzoek in te gaan. Patiënt overleed zeven weken na presentatie door middel van euthanasie.
Terugblikkend en (kritisch) evaluerend
Ten aanzien van de differentiaal diagnose valt nog te vermelden dat er op basis van de bevindingen tijdens de stabiliserende operatie (o.a. pulserend bloed) enige twijfel was ontstaan over de diagnose spondylodiscitis. Zo werd nog een aneurysmatische botcyste, een benigne botlaesie bestaande uit holtes gevuld met bloed en daarbij typerende vloeistof-vloeistof spiegels zoals ook bij onze patiënt, geopperd. Patiënt gaf toestemming voor obductie en daarmee kon post mortem de diagnose spondylodiscitis wel worden bevestigd.
Verder valt retrospectief te betwisten of er in aanloop naar de stabiliserende operatie wel genoeg aandacht besteed is aan de op dat moment te verwachten behandeluitkomsten, prognose en kernvoorwaarden voor een waardig leven van onze patiënt. Ons inziens zijn namelijk vooral de reeds bij initiële presentatie aanwezige complicaties van zijn spondylodiscitis - en dan met name het dwarslaesiebeeld - bepalend geweest voor het beperkte te verwachten herstel van mobiliteit en zelfredzaamheid. Anderzijds was op dat moment nog niet duidelijk dat de infectie zich inmiddels verder had uitgebreid en zou een stabilisatie voor pijnvermindering kunnen zorgen. Consultatie van een revalidatie-arts had ons hier wellicht nog bij kunnen helpen. Ook specialisten ouderengeneeskunde hebben veel expertise in het inschatten van de revalidatie-opties. Mocht de infectie uiteindelijk op welke manier dan ook wel curatief zijn behandeld, dan zou de specialist ouderengeneeskunde de geriatrische revalidatie uitstekend hebben kunnen overnemen in het verpleeghuis. En in het scenario dat patiënt geen euthanasiewens zou hebben gehad, had de specialist ouderengeneeskunde onze patiënt goede palliatieve begeleiding hebben kunnen bieden aansluitend aan het ziekenhuistraject. In deze beide gevallen is vroegtijdige samenwerking tussen de klinisch geriater en specialist ouderengeneeskunde wenselijk, bijvoorbeeld door de laatstgenoemde in een vroeg stadium te consulteren en alvast te laten aansluiten bij het MDO in het ziekenhuis.
Voorts denken wij dat de opgetreden delay tussen de toename van zijn bekende lumbago en de uiteindelijke presentatie op de SEH heeft bijgedragen aan de slechte prognose. Immers, mogelijk waren zonder delay de reeds bij presentatie bestaande invaliderende complicaties nog niet opgetreden. De huisarts had wellicht een specialist ouderengeneeskunde in de eerste lijn kunnen inschakelen voor een uitgebreidere anamnese en lichamelijk onderzoek om een vollediger beeld te krijgen van de klachten en patiënt op basis daarvan voor te lichten en te motiveren voor diagnostiek. Patiënt had zoals eerder gezegd weinig vertrouwen in zijn huisarts en bleek bijvoorbeeld zijn incontinentieklachten niet te hebben aangegeven vanuit schaamte. In dit soort gevallen is aandacht en tijd belangrijk; een specialist ouderengeneeskunde zou daarin denken wij het verschil hebben kunnen maken. Tot slot is het vanuit de verpleeghuissetting gekeken belangrijk dat een specialist ouderengeneeskunde bij patiënten met rugpijn en risicofactoren voor een spondylodiscitis vroegtijdig met een klinisch geriater of internist ouderengeneeskunde overlegt. Bovengenoemde voorbeelden onderschrijven de belangrijke rol van de specialist ouderengeneeskunde als schakel in een dergelijk diagnostisch - en nadien eventueel therapeutisch - traject, zowel vanuit de eerste lijn naar het ziekenhuis als andersom.
Spontane spondylodiscitis in een notendop
De incidentie van spontane spondylodiscitis neemt toe met de leeftijd en wordt in de literatuur geschat tot 9.8 per 100.000 oudere patiënten per jaar.1 De meest voorkomende verwekker is de Staphylococcus Aureus, maar ook gramnegatieve bacteriën waaronder de E. Coli - zoals in onze casus - zijn niet ongebruikelijk.1 Een niet-chirurgische behandelstrategie volstaat meestal,1,2 tenzij er sprake is van ernstige wervelinstabiliteit en/of bij ernstig neurologisch aangedane patiënten.2 Mortaliteitscijfers lopen sterk uiteen; een recente studie met een aanzienlijk aantal oudere patiënten beschrijft een gemiddelde mortaliteit van 7.8%,1 maar eerdere studies laten een mortaliteit tot 27% zien.3 Het is goed mogelijk dat comorbiditeit en niveau van functioneren meer invloed hebben op de prognose dan de leeftijd. Een ‘comprehensive geriatric assessment’ (CGA) kan inzicht geven in deze factoren en daarmee helpen bij behandeldilemma’s.3
Het moge duidelijk zijn dat de dramatische presentatie en de fatale afloop zoals in onze casus behoren tot de ongunstigste kant van het spectrum. Dit hangt zeker ook samen met het frequent optredende ‘patient delay’ (presentatie laattijdig en atypisch) en ‘doctor delay’ (diagnose spondylodiscitis niet direct overwogen).4 Bij oudere patiënten met rugpijn, tekenen van inflammatie en risicofactoren (diabetici, immuungecompromitteerden, patiënten met reumatoïde artritis, een bijkomstige endocarditis) moet altijd aan een spondylodiscitis worden gedacht en dient laagdrempelig overleg met een klinisch geriater of internist ouderengeneeskunde plaats te vinden.4
Tot besluit
Een spontane spondylodiscitis is een notoire oorzaak van rugpijn waarvan de incidentie toeneemt met de leeftijd en de presentatie frequent atypisch is. Ook het regelmatig optredende delay met soms invaliderende en fatale complicaties tot gevolg bevestigt nog maar eens het belang van alertheid omtrent deze diagnose. Bij de behandeling van kwetsbare ouderen is het van het grootste belang om zorgvuldige afwegingen te maken ten aanzien van hoe ver en intensief door te behandelen. Hierbij dienen naast een CGA, multidisciplinair overleg en inhoudelijke verdieping zeker ook uitvoerige gesprekken met patiënt over diens verwachtingen en wensen als belangrijke pijlers. De specialist ouderengeneeskunde heeft bij dergelijke casuïstiek bij uitstek veel expertise en dient dan ook als belangrijke schakel in het diagnostisch traject, het daaropvolgende afwegen van behandeldilemma’s en vervolgens de eventuele geriatrische revalidatie en algehele, holistische zorg op maat.
Auteurs
- Drs. Katinka Ladee, aios klinische geriatrie - OLVG, Amsterdam 
- Drs. Floor van den Hanenberg, klinisch geriater - OLVG, Amsterdam 
- Drs. Maarten A. de Boer, orthopedisch chirurg - Dijklander ziekenhuis, Hoorn 
- Drs. Rinze Reinhard, radioloog - OLVG, Amsterdam 
Literatuur
- Lackermair S, Egermann H, Müller A. Distribution of Underlying Causative Organisms, Patient Age, and Survival in Spontaneous spondylodiscitis with Special Focus on Elderly Patients. J Neurol Surg A Cent Eur Neurosurg. 2021 Feb 14. 
- Giordan E, Marton E, Scotton G, Canova G. Outcomes and risk factors for spontaneous spondylodiscitis: Case series and meta-analysis of the literature. J Clin Neurosci. 2019 Oct;68:179-187. 
- Kerkenaar ME, van Marum RJ, Sprong T, Bootsma JEM. Spondylodiscitis in the elderly. [Article in Dutch]. Ned Tijdschr Geneeskd. 2016;160:A9375. 
- Van der Wal WA, Öner FC. Spondylodiscitis as cause of unexplained fever. [Article in Dutch]. Ned Tijdschr Geneeskd. 2007 Nov 10;151(45):2485-90.